Case Studies/ Phoebe
Phoebe became self conscious and shy after damaging two front teeth in an accident at the swimming pool, when she was just 15 years old.
Phoebe was 15 when she slipped by a swimming pool and knocked her two top front teeth. Despite her dentist’s very best efforts, the teeth rapidly began to discolour and the gum started to shrink back as a result of the infection associated with them. Soon her two front teeth were so unsightly that Phoebe simply stopped smiling and started to lose much of her self-confidence.
“I lost my confidence and became extremely shy and I felt trapped“
Finally, when she was 18 she was referred to The Implant Centre to see if we could help. It was obvious straight away that the two top front teeth needed to be removed, but with Phoebe’s very high smile line and the massive amount of bone and gum loss that she had sustained as a result of her infected teeth, could we achieve a result that would make her smile again?
“As the financial costs were quite large for my family, it was rather challenging...“
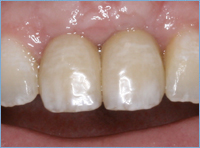
Well, as these photographs show, using the very latest state of the art bone augmentation techniques, The Implant Centre team were able to build back all of her lost bone and gum. During her treatment, Phoebe was provided with fixed temporary replacements for her front teeth so she didn’t ever go toothless or have to wear a denture.
“...but luckily we all pulled together and my grand parents were extremely kind“
Eventually, she was fitted with new fixed implant crowns and since then, Phoebe hasn’t stopped smiling and she has absolutely blossomed. Phoebe is now happy and confident studying for a degree at university.
“They say that money can’t buy you happiness but the feeling that I had when I first saw my brand new perfect implants were that of complete and utter happiness.”
“Bone loss can happen to people of all ages not just our more mature patients. In Phoebe’s case, although she was just 18 years old and otherwise a healthy teenager, she had suffered from a severe tooth infection for several years which had spread, causing damage to her gums and upper jaw. The implant centre specialise in a variety of the most advanced techniques for re-building and strengthening lost bone. With the latest scanning facilities and experience, we can ensure that almost all cases are able to benefit from dental implant treatment.
